我们会尽快处理。
今天必须要跟大家分享一下我带爷爷去西安团圆口腔医院做 34000 元全口种植牙的事儿,张保平医生的技术那真叫一个靠谱!

爷爷的牙齿难题
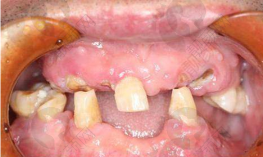
爷爷年纪大了,牙齿问题一直是家里的一块心病。他的牙齿掉得差不多了,吃饭只能吃点软乎的东西,稍微硬一点的就嚼不动。看着爷爷吃饭时那小心翼翼的样子,我心里特别不是滋味。
一开始,我们给爷爷配了假牙。想着假牙便宜又方便,能解决吃饭问题就行。可谁知道,这假牙戴上没几天,爷爷就说戴着不舒服,老是往下掉。而且假牙清洁起来也麻烦,爷爷年纪大了,有时候根本弄不干净,没过多长时间,嘴里就有一股怪味儿。
为了给爷爷找个更好的解决办法,我和家里人开始四处打听。问了身边好多人,也在网上查了不少资料,了解到种植牙是目前解决牙齿缺失比较好的办法。但种植牙价格不便宜,全口种植牙更是贵得离谱,我们心里一直犯嘀咕,不知道该怎么办才好。

选择西安团圆口腔医院
就在我们一筹莫展的时候,一个朋友给我推荐了西安团圆口腔医院。朋友说他之前在这家医院看过牙,医生技术好,价格也合理。我一听,赶紧上网查了查这家医院的资料。
不查不知道,一查还挺惊喜。西安团圆口腔医院口碑还不错,好多患者都在网上分享了自己的看牙经历,评价都挺高的。而且医院的医生团队特别强大,有不少经验多的骨干医生。我特别留意了一下他们的种植牙项目,发现价格比其他医院要实惠一些,全口种植牙只要 34000 元,这让我看到了希望。
我和家里人商量了一下,决定带爷爷去西安团圆口腔医院看看。到了医院,前台的工作人员特别热情,马上就给我们安排了医生。给爷爷看牙的是张保平医生,他看起来特别专精,一见到爷爷就仔细询问了爷爷的牙齿情况和身体状况。
张医生给爷爷做了全方面的口腔检查,还拍了片子。检查完后,张医生耐心地给我们解释了爷爷牙齿的情况,以及种植牙的过程和注意事项。他说爷爷的身体状况还不错,可以做种植牙手术,而且 34000 元的全口种植牙方案特别适合爷爷。听了张医生的话,我们心里踏实多了,当场就决定让爷爷在这儿做种植牙。

种植牙手术过程
手术前,张医生又跟爷爷沟通了一下,让爷爷不要紧张。护士也给爷爷做了一些术前准备工作,比如清洁口腔、消毒之类的。看着他们专精又细心的样子,我心里对这次手术充满了信心。
手术开始了,我在外面焦急地等着。大概过了2个多小时,张医生从手术室出来了,笑着跟我说手术特别成功。我悬着的心这才落了地。等爷爷从手术室出来,我看到他状态还不错,就是稍微有点疲惫。张医生叮嘱我们术后的注意事项,让爷爷这几天饮食要清淡,注意口腔卫生,还开了一些消炎药。
术后的修复过程也特别顺利。爷爷按照张医生的嘱咐,按时吃药,注意饮食。大概过了几天,爷爷就说感觉好多了,嘴里也不怎么疼了。我们每隔一段时间就带爷爷去医院复查,每次张医生都仔细检查爷爷的修复情况,还根据修复情况调整治疗方案。
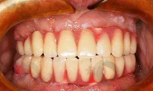
经过一段时间的修复,爷爷的种植牙完全修复好了。现在爷爷吃饭可香了,什么排骨、苹果都能吃,再也不用像以前那样小心翼翼了。看着爷爷吃得开心的样子,我们全家人都特别高兴。

张保平医生技术靠谱
真的要好好夸夸张保平医生,他的技术真的太靠谱了。从一开始给爷爷检查牙齿,到制定治疗方案,再到手术过程,每一个环节都处理得特别好。
张医生特别有耐心,我们有什么问题他都耐心解答,从来没有不耐烦过。手术的时候,他操作特别熟练,手法特别稳,一看就是经验多的骨干医生。而且术后对爷爷的修复情况也特别关心,每次复查都问得特别仔细,让我们心里特别踏实。
在西安团圆口腔医院做全口种植牙,价格实惠,技术又好,真的是选对了。我特别感谢张保平医生和西安团圆口腔医院的全体工作人员,是他们让爷爷重新拥有了健康的牙齿,提高了生活质量。
结尾
总之,我带爷爷去西安团圆口腔医院做 34000 元全口种植牙,张保平医生的技术真的靠谱!如果家里老人也有牙齿缺失的问题,不妨考虑一下西安团圆口腔医院,相信他们一定能给你一个满意的答案。

热门搜索

