我们会尽快处理。
天呐!我在上海鼎植口腔找黎强院长做半口速齿种植牙,才花5万!这事儿我必须得跟大家好好唠唠。

牙齿缺失的苦恼
我这牙齿啊,一直都不太好。年轻的时候就爱吃甜食,还不咋注意口腔卫生,结果年纪轻轻就开始掉牙。一开始掉一两颗的时候,我也没太在意,觉得不影响啥。可后来掉的牙越来越多,半口牙都快没了,这问题就来了。
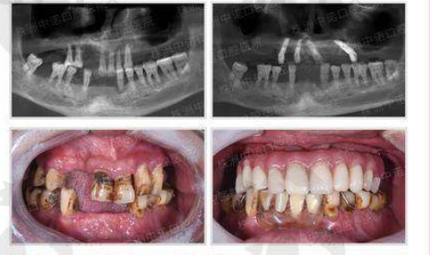
吃饭的时候那叫一个费劲,稍微硬一点的东西都咬不动,只能吃点软乎乎的粥啊、面条啥的。时间长了,营养都跟不上,整个人气色也不好。而且说话还漏风,一开口“嘶嘶”的,特别影响形象。我试过戴假牙,可那玩意儿戴着真不舒服,还老是掉,别提多闹心了。
我就寻思着,得想个办法把牙给补上。我问了身边好多人,也在网上查了不少资料,了解到种植牙是个不错的选择。但是又听说种植牙挺贵的,我心里就有点打鼓,不知道自己能不能负担得起。

邂逅上海鼎植口腔
就在我犹豫不决的时候,有个朋友跟我说,上海鼎植口腔挺不错的,他之前在那儿做过牙齿矫正,成效挺好,医生也特别专精。我一听,就决定去了解了解。
我到了上海鼎植口腔,一进门就感觉环境特别好,干净整洁,装修得也特别温馨,一点都没有那种医院冷冰冰的感觉。前台的小姐姐特别热情,问清楚我的来意后,特别快就给我安排了医生。
给我看牙的就是黎强院长。黎院长人特别和蔼可亲,他先仔细地给我检查了牙齿,又问了我的一些生活习惯和需求。然后跟我详细地解释了种植牙的原理、过程和注意事项。他说我这种半口牙齿缺失的情况,做半口速齿种植牙挺合适的。
我更关心的还是价格问题。黎院长给我算了一下费用,说做半口速齿种植牙,总共下来大概5万。我当时一听,简直不敢相信自己的耳朵。我之前了解过,一般半口种植牙至少得七八万,甚至更贵,这5万的价格对我来说真的太划算了。
我有点担心价格这么低,成效会不会不好。黎院长好像看出了我的顾虑,他跟我确保,他们用的都是正规的种植体,技术也是成熟可靠的,让我放心。而且还给我看了特别多之前患者的实例,看着那些患者种完牙后笑得那么灿烂,我心里的顾虑一下子就打消了。

半口速齿种植牙过程
确定好方案后,就开始准备种植牙手术了。手术前,护士小姐姐给我做了全方面的口腔清洁和消毒,还跟我讲了一些手术中的注意事项,让我别紧张。
手术开始的时候,黎院长先给我打了麻药。说实话,打麻药的时候还是有点疼的,不过也就那么一小下。打完麻药后,就感觉嘴巴木木的,没什么知觉了。
黎院长的手法特别娴熟,整个手术过程我都没感觉到什么痛苦。他一边操作,还一边跟我聊天,分散我的注意力,让我放松下来。大概过了一个多小时,手术就结束了。
术后,黎院长又给我详细地交代了一些注意事项,比如要注意口腔卫生,不能吃太硬的东西,要按时吃药等等。还留了他的联系方式,说如果我有什么问题随时都可以问他。
回家后的几天,牙齿有点轻微的肿胀和疼痛,不过都在能忍受的范围内。按照黎院长说的注意事项去做,修复得还挺快。大概过了一个月左右,种植体就和牙槽骨结合得差不多了,然后又去安装了牙冠。

种植牙后的惊喜
装上牙冠后,我看着镜子里的自己,简直不敢相信这是我。牙齿变得整整齐齐的,就跟自己原来的牙一样。我试着咬了咬东西,哇塞,那种感觉太美妙了,终于又能像以前一样大口吃肉、啃苹果了。
而且说话也不漏风了,整个人的自信心都提升了不少。我身边的朋友都说我变化太大了,看起来年轻了好几岁。
这半口速齿种植牙不仅让我的牙齿修复了健康,还改善了我的生活质量。现在想想,当初选择上海鼎植口腔和黎强院长真是太明智了。

总结与分享
我真的特别感谢上海鼎植口腔和黎强院长。他们专精的技术、贴心的服务和实惠的价格,让我这个普通老百姓也能享受到高品质的种植牙服务。
如果你们也跟我一样有牙齿缺失的烦恼,不妨去上海鼎植口腔了解一下。相信黎强院长和他的团队一定能给你们一个满意的解决方案。
再次强调一下,我在上海鼎植口腔找黎强院长做半口速齿种植牙,才花5万!这么划算的事情,真的不要错过。希望我的分享能对大家有所帮助。

热门搜索

