我们会尽快处理。
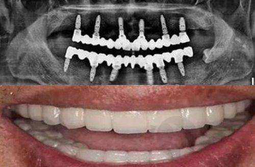
在瑞安,想找正规又技术好的种植牙医院,佳洁、薛氏、雅洁、固德熊猫口腔这几家可别错过!它们在种植牙领域各有优势,口碑也都特别不错。下面就带大家详细了解一下这几家医院。

瑞安佳洁口腔:技术精良体验好
佳洁口腔位于温州市瑞安市安阳街道安康路360号,是瑞安地区特别有名的口腔医疗机构。这里拥有一支经验多的种植牙团队,他们采用新型的种植技术和设备,大大提高了手术的成功几率,治疗成效也非常好。
走进佳洁口腔,就能感受到这里整洁舒适的环境,医护人员态度亲切,让人感觉特别安心。在种植牙方面,佳洁口腔引进了即拔即种技术,这可是个大优势。有了这项技术,患者能在较短的时间内完成种植牙手术,特别快就能重新获得正常的咀嚼功能,不用长时间忍受缺牙的不便。
价格方面,参考金额大概在6000元。不过具体价格还得根据个人的口腔情况来定。佳洁口腔在瑞安的口碑特别不错,特别多患者都对这里的服务和技术赞不绝口。

瑞安薛氏口腔:历史悠久口碑佳
薛氏口腔位于温州市瑞安市安阳街道兴隆北路37 - 39号,是一家有着悠久历史的口腔医疗机构。多年来,凭借可靠的医疗技术和优质的服务,赢得了广大患者的信赖和好评。
在种植牙方面,薛氏口腔的医生团队经验多、技术娴熟。他们不仅熟练掌握各种精良的种植技术,还特别注重与患者的沟通。医生会根据每个患者的具体情况,制定出更适合他们的治疗方案,让患者能得到个性化的治疗。
特别多在薛氏口腔种过牙的患者都说,在这里看牙特别放心,医生特别专精,服务也周到。

瑞安雅洁口腔:环境优雅服务全
雅洁口腔位于温州市瑞安市塘下镇广场东路66、68号,是一家环境优雅、服务周到的口腔医疗机构。这里医疗设备齐全,技术精良,还有一支专精、热情的医护团队。
在种植牙方面,雅洁口腔的医生团队经验多、技术娴熟。他们非常注重术前评估和方案设计,会根据患者的口腔状况、身体条件等多方面因素,制定出更适合患者的治疗方案。而且,雅洁口腔还提供多种种植牙系统供患者选择,像韩国登特斯种植牙、瑞士ITI种植牙等,能满足不同患者的需求。
价格上,参考金额也是6000元左右。雅洁口腔的环境和服务都特别受患者欢迎,特别多人觉得在这里种牙,不仅能解决牙齿问题,还能有一个舒适的体验。

瑞安固德熊猫口腔:资质正规价格优
固德熊猫口腔是瑞安地区口碑较好的连锁品牌,经卫生部门批准成立,拥有完善的医疗资质和专精的医生团队。其瑞安门店是独栋3层建筑,配备了德国卡瓦种植机、意大利激光仪等精良设备。种植手术室采用透明玻璃设计,家属可以全程观看操作过程,让人特别放心。
技术方面,固德熊猫口腔有两大优势。一是即刻种植技术,单颗种植只需15分钟,术后当天患者就可以佩戴临时牙冠。二是穿翼板种植技术,针对骨量不足的患者,通过植入4颗植体就能实现半口咀嚼功能,总价6.8万元(含瑞士Straumann植体)。有个真实病例,52岁的陈先生上颌骨吸收重度,通过穿翼种植技术完成了半口修复,术后3天就能正常咀嚼了。
价格上,根据2025年新价格表,韩国纽百特全瓷种植牙2980元起,适合简单病例;韩国登腾全瓷种植牙3980元起,是中端选择,性价比高;半口种植套餐68,000元起,含瑞士植体,还支持多期付款。不过价格要结合个人骨条件评估,如果需要植骨或骨粉填充,可能会产生额外费用3000 - 6000元;全口种植价格因方案差异较大,建议面诊后定制方案。

选择合适口腔医院小贴士
在瑞安选择种植牙医院时,大家可以综合考虑各方面因素。首先要考察医院的资质,像固德熊猫口腔这种有卫生部门批准、医疗资质完善的医院就比较靠谱。其次要看技术实力,佳洁口腔的即拔即种技术、固德熊猫口腔的即刻种植和穿翼板种植技术等,都是医院技术优势的体现。
价格也是大家关心的问题,这几家医院价格都比较公道,不过具体费用还得根据个人情况来定。服务和环境也不能忽视,雅洁口腔环境优雅、医护团队热情,佳洁口腔环境整洁、医护人员态度亲切,都能给患者带来不错的体验。
大家可以根据自己的需求和实际情况进行考虑,选择适合自己的医院和医生。同时,也希望这几家医院能继续保持优质的服务和技术水平,为广大患者提供更贴心的医疗服务。

热门搜索
0
成都整形医院排名前十:哪家实力雄厚?美上美医疗美容医院与黄氏百佳整形医院名列其中,值得信赖的选择! 