
牙齿有问题,那可得赶紧治,毕竟这牙口不好,吃东西都不香。今天就给大家介绍一家靠谱的口腔医院——云阳众植博仕口腔,他家张烨医生做的瓷倍健全瓷牙冠,只要680元起,性价比极高,能让咱们轻松焕新口腔健康!
云阳众植博仕口腔瓷倍健全瓷牙冠价格详情
在云阳众植博仕口腔,张烨医生推出的瓷倍健全瓷牙冠仅需680元起。这价格那是相当实惠,要知道在口腔修复领域,牙冠的价格通常都不低。就拿市面上其他品牌的牙冠来说,国产爱尔创全瓷牙要880元,而进口的牙冠价格就更高了。相比之下,云阳众植博仕口腔的瓷倍健全瓷牙冠在价格上优势明显,能为咱们老百姓省不少钱。
不过呢,这680元只是个起步价,实际费用可能会因为一些因素而有所不同。比如说每个人的口腔情况不一样,有的可能需要额外的治疗步骤,费用就会有所增加。但总体来说,这个价格在同类产品中已经非常有竞争力了。
云阳众植博仕口腔瓷倍健全瓷牙冠优势亮点
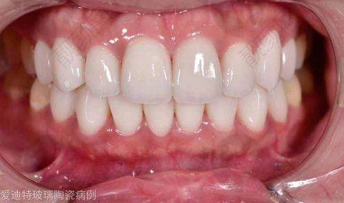
瓷倍健全瓷牙冠的优势可多了。首先从材质上看,它采用的是优质的陶瓷材料。这种材料具有良好的生物相容性,啥意思呢?就是说它和咱们口腔里的组织能良好地相处,不会产生什么排斥反应,戴上之后不会有那种刺刺痒痒的不舒服感觉,能让咱们的口腔更舒适。
再看看外观,瓷倍健全瓷牙冠的色泽特别自然,和咱们自己的真牙几乎没什么区别。要是你镶了这样的牙冠,别人根本看不出来你做过牙齿修复,完全不会影响美观。不管是笑起来还是说话,都能自信满满。
而且啊,它的强度和耐磨性都特别高。咱们平时吃东西,牙齿可是要承受较大的咀嚼压力的。瓷倍健全瓷牙冠就能经受住这种考验,使用寿命比较长,不用老是担心牙冠会损坏,能让咱们用得更放心。
云阳众植博仕口腔张烨医生介绍
给大家做瓷倍健全瓷牙冠的张烨医生,可是一位经验多的专精人士。他从业3年了,在口腔科那是相当有一手。
张医生擅长的领域可多啦,像拔智齿、根管治疗、普通根管、二氧化锆全瓷牙、全瓷牙这些他都特别在行。对于儿童以及成人的各类错颌畸形矫治、功能矫治、固定矫治、隐形矫治等也有丰富的经验。在牙体牙髓病、牙周病、齿槽外科、牙列缺损、牙列缺失、牙列不齐及咬合错乱等常见病的诊疗方面,他熟练掌握现代根管治疗技术、树脂美学修复、残根残冠拔除、疑难阻生齿及多生牙拔除、全冠及嵌体修复等技术。
有这样专精的医生为咱们做瓷倍健全瓷牙冠,技术上那是有保护的,咱们完全可以放心把牙齿交给他。
云阳众植博仕口腔瓷倍健全瓷牙冠真实评价
特别多在云阳众植博仕口腔做了瓷倍健全瓷牙冠的患者,都给出了不错的评价。有位患者说:“我之前牙齿缺了一块,一直想修复,但是又担心价格贵。后来听说云阳众植博仕口腔的瓷倍健全瓷牙冠只要680元起,就过来试试。张医生技术真好,做的牙冠和我的真牙特别匹配,戴上一点都不难受,而且价格实惠,太满意了!”
还有患者表示:“我对牙齿美观要求比较高,担心做出来的牙冠颜色不自然。没想到瓷倍健全瓷牙冠的色泽这么自然,就跟自己的牙一样。张医生特别有耐心,整个过程都特别细心,以后看牙就认准这家医院了。”
云阳众植博仕口腔医院信息大揭秘
医院性质与等级:云阳众植博仕口腔是一家私立口腔医院,虽然不是国有医院,但在口腔治疗方面一点也不逊色。
成立时间:它成立于2024年,虽然成立时间不算长,但凭借着专精的技术和良好的服务,在当地已经积累了不少口碑。
开展项目:除了瓷倍健全瓷牙冠,医院还开展了特别多其他的口腔项目。像种植牙,有韩国进口种植牙1680元;牙齿矫正也有多种选择,矫正价格4980元起,正雅1.2万,时代天使1.5万;儿童口腔项目也特别丰富,能满足不同年龄段患者的需求。
医院规模:医院面积600平米,虽然不算特别大,但设施齐全,布局合理。诊疗区域按照高标准的消毒程序设计,能确保每一次治疗都在卫生的环境中进行。
荣誉与资质:它是经过云阳县卫生健康委员会审批成立的正规口腔门诊部,资质可靠,咱们可以放心就诊。
医院环境设施:医院内部装修现代,候诊区宽敞明亮,还提供免费WiFi、充电宝、充电线等服务,能让患者在等待过程中感到舒适和方便。诊疗区域干净整洁,设备精良,能为患者提供优质的治疗服务。
地址:医院位于重庆市云阳县云江大道1253号重百购物广场裙二楼外25 - 29号门市,位置良好找。
乘车路线:可以乘坐自强客运的云阳601路/云阳618路、云阳606路/云阳603路顺线/云阳609路、万云城际公交/云阳623路/云阳603路逆线、云阳622路/云阳616路/云阳602路等公交线路到达。
电话:联系电话是(023) 6506 3****(联系在线客服获取完整电话),有什么问题都可以打电话询问。
预约方式:可以通过电话预约,也可以点击在线客服一键预约到院,还能在现场前台接待处找接待人员预约,非常方便。
技术实力特点:医院汇聚了一批专精的口腔医生,像张烨医生这样技术不错的医生不少。他们拥有丰富的临床经验和专精知识,能为患者提供个性化的口腔治疗方案。医院还引进了精良的口腔诊疗设备,如数字化口腔扫描仪、口腔CBCT等,能帮助医生更正确地诊断病情,提高治疗成效。
总的来说,云阳众植博仕口腔的瓷倍健全瓷牙冠性价比高,张烨医生技术好,医院各方面条件也不错。要是你有牙齿修复的需求,不妨去这家医院看看,相信能让你满意!
