我们会尽快处理。
导语: 口腔健康在整体健康中扮演着至关重要的角色。良好的口腔卫生不仅能够预防牙齿和牙龈疾病,还与身体其他系统的健康密切相关。研究表明,口腔内的微生物可能会影响心血管健康,增加糖尿病患者的并发症风险。此外,口腔健康还与心理健康息息相关,良好的牙齿和口腔状态能够提升个人自信心和社交能力。因此,保持良好的口腔卫生习惯,如定期刷牙、使用牙线和定期进行口腔检查,显得尤为重要。只有重视口腔健康,才能更好地维护整体健康,享受更高质量的生活。
广州友睦猎德口腔门诊部简介
广州友睦猎德口腔门诊部成立于2017年,是一家独立经营的私立口腔医疗机构,位于广州市天河区,面积达800平方米。该院以其综合性的口腔服务赢得了良好的口碑,提供包括种植牙、牙齿矫正、牙周病治疗等多项服务,并配备先进的医疗设备。友睦齿科拥有一支高素质的医疗团队,致力于为患者提供个性化的诊疗服务,确保医疗靠谱与高效率。

广州友睦猎德口腔门诊部环境交通地理位置
广州友睦猎德口腔门诊部地址: 广州市天河区花城大道86号1-4
广州友睦猎德口腔门诊部交通详细路线:
冼村路中, 11路; 18路; 20路; 45路; 230路; 293路; 550路; 583路; 669路; 886路; 观光2路; 旅游公交3线; 夜56路; 珠江嘉苑总站-华成路口站
猎德码头, 44路; 138路; 293路; 499路; 669路; 777路; 886路
海心沙公园, 293路; 499路; 886路
猎德, 11路; 18路; 20路; 40路; 45路; 62路; 90路; 194路; 499路; 583路; 669路; 777路; 811路; 901A路; RYD1000路; 观光2路; 旅游公交3线; 夜109路; 夜56路
广州友睦猎德口腔门诊部环境诊疗环境:在这座占地800平方米的医院中,环境布局经过精心设计,旨在为患者和医护人员提供一个舒适、宁静的就医体验。医院内部空间宽敞明亮,采用大面积的窗户设计,充分利用自然光线,营造出温馨的氛围。绿植的巧妙布局不仅美化了环境,还有效提升了空气质量,为患者提供一个更加健康的恢复空间。 医院的各个功能区划分明确,候诊区配备舒适的座椅和阅读材料,让患者在等待时感受到关怀与温暖。诊疗室则注重隐私保护,确保患者在接受治疗时的靠谱感和舒适度。同时,医院的无障碍设计充分考虑到了行动不便的患者,确保每一个人都能方便地使用各项设施。 此外,医院还设有专门的休息区和咖啡角,为家属和陪护人员提供一个放松的场所。在这里,您可以享用到新鲜的饮品和小食,缓解就医过程中的紧张情绪。整体而言,这座医院不仅注重医疗服务的质量,更加关注患者的整体体验,致力于为每一位前来就诊的患者创造一个温馨、舒适的环境。
广州友睦猎德口腔门诊部医疗团队设备和技术实力
广州友睦猎德口腔门诊部医疗团队信息:
| 医生名称 | 医生职称 | 从业时间 | 医生类别 | 擅长项目 |
|---|---|---|---|---|
| 张灵超 | 主治医师 | 20年 | 口腔医师 | 青少年牙齿排列不齐,多种牙颌畸形,金属自锁托槽,金属非自锁托槽 |
广州友睦猎德口腔门诊部先进设备介绍: CBCT机、全景机、超声洁治器、铸造机、切割装置、根管测量仪、根管填充器、激光设备、电动吸引器、口腔内窥镜
广州友睦猎德口腔门诊部擅长项目: 牙套、洗牙、牙周治疗、拔牙、补牙、儿童牙科、地包天
项目描述:在我们医院的众多服务项目中,牙周治疗是我们特别擅长的一项。牙周治疗旨在改善和维护口腔健康,预防牙龈疾病的发生。通过专業的检查和个性化的治疗方案,我们能够有效地解决患者面临的各种牙周问题,帮助他们恢复健康的微笑。我们的团队由经验很丰富的牙科医生组成,他们会根据每位患者的具体情况,提供合适的治疗建议。选择我们的牙周治疗,您将体验到高质量的医疗服务和贴心的关怀。
广州友睦猎德口腔门诊部口碑评价
广州友睦猎德口腔门诊部患者满意度调查广州友睦猎德口腔门诊部患者满意度调查显示,整体满意度较高。许多患者对医疗服务的专業性和医生的态度给予了积极评价,认为医护人员耐心细致,能够充分解答疑问。此外,门诊环境整洁舒适,设备先进,为患者提供了良好的就诊体验。 在调查中,不少患者提到,预约挂号流程简便,等待时间较短,极大地提升了就医效率。同时,患者对治疗结果表示满意,认为医生的技术水平值得信赖。 然而,也有部分患者提出了一些建议,希望在某些细节上能够进一步改进,例如增加候诊区的座椅数量和优化就诊流程,以便能够更好地满足患者的需求。 总体而言,广州友睦猎德口腔门诊部在患者心中树立了良好的口碑,未来将继续致力于提升服务质量,努力为更多患者提供优质的口腔医疗服务。
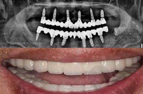
广州友睦猎德口腔门诊部友评价成功病例分享
在广州某医院做了牙周治疗,真心觉得结果不错!医生很专業,耐心解答我的每一个问题,治疗过程中也很细心,完全没有让我感到不适。治疗后,牙齿的感觉清爽了很多,牙龈也不再出血了。医院的环境也很舒适,护士小姐姐们特别热情。总之,这次体验让我对牙齿健康有了新的认识,以后会定期来这里检查的!
在广州某医院做了牙周治疗,真心觉得结果不错!之前牙龈总是出血,医生给我详细检查后,制定了个治疗方案。整个过程很专業,医生态度也很不错,耐心解答我的各种问题。治疗后感觉牙齿和牙龈都舒服多了,恢复得也快。推荐给有类似困扰的朋友们,值得一试!
广州友睦猎德口腔门诊部价格体系
广州友睦猎德口腔门诊部致力于为每位患者提供透明的收费标准,确保患者在接受治疗前能够清晰了解各项费用。这家门诊部以其高性价比而受到广泛赞誉,患者不仅能够享受到优质的口腔医疗服务,还能在费用上获得实惠。此外,友睦猎德口腔门诊部定期推出各种优惠活动和政策,为患者提供更多的经济支持,让每位前来就诊的人都能感受到实实在在的关怀与便利。无论是常规检查还是复杂治疗,患者都能在这里找到适合自己的优质服务与合理价格。
广州友睦猎德口腔门诊部部分参考项目价格表:
儿童牙胶封装收费价格330元起
美白洁牙收费价格458元起
儿童防龋保健收费价格336元起
钴铬合金烤瓷冠收费价格993元起
牙周 Flap手术收费价格1824元起
华西CDIC种植牙收费价格4236元起
儿童牙列矫正收费价格6685元起
水晶瓷贴面美白收费价格5294元起
传统金属托槽矫正收费价格7777元起
金属自锁托槽矫正收费价格10861元起
钢丝矫正牙齿收费价格12014元起
后槽牙内翻矫正收费价格12635元起
瑞典诺贝尔种植牙收费价格9813元起
数字化隐形矫正收费价格10654元起
时代天使隐形矫正(双模版)收费价格30963元起
注:以上口腔治疗项目价格仅为参考,具体价格以实际价格为准。

广州友睦猎德口腔门诊部预约服务优势
广州友睦猎德口腔门诊部的预约方式非常简便,患者可以通过以下几种方式进行挂号:
1. 在线预约:患者可以访问官方,填写相关信息,选择合适的就诊时间,轻松完成预约。
2. 电话预约:拨打门诊部的客服电话,专業的客服人员会协助患者进行预约,提供个性化的服务。
3. 微信公众号:关注门诊部的微信公众号,直接在平台上进行预约,随时随地都能轻松挂号。
此外,广州友睦猎德口腔门诊部还提供个性化治疗方案,针对每位患者的具体情况,制定适合的治疗计划,确保治疗结果很不错。
术后跟踪服务也是门诊部的一大特色,医生会定期与患者沟通,了解恢复情况,确保患者的口腔健康得到持续关注。
同时,门诊部设有贴心的回访制度,定期回访患者,听取反馈意见,进一步优化服务质量,让每位患者都能感受到温暖与关怀。
综上所述,广州友睦猎德口腔门诊部凭借其优越的地理位置、舒适的就医环境、专業的医疗团队以及先进的设备和技术,成为了众多患者的信赖之选。无论是在口碑评价还是价格体系方面,该门诊部都力求为患者提供透明和合理的服务。此外,便捷的预约服务也为患者的就医体验增添了不少便利。选择广州友睦猎德口腔门诊部,您不仅能享受到高品质的口腔医疗服务,更能感受到温馨贴心的就医关怀。无论您有何种口腔问题,欢迎随时前来咨询和就诊,我们将竭诚为您服务。

热门搜索

