我们会尽快处理。
在种牙这件事儿上,大家都想找个性价比高的医院。最近特别多人都在问,鼎植口腔种植牙2999元是真的吗?这家医院高难度种植技术咋样?口碑好不好呢?今天就来给大家好好唠唠。

鼎植口腔种植牙2999元是真的吗?价格大揭秘
不少人听到鼎植口腔种植牙2999元这个价格,心里都犯嘀咕,这是真的吗?其实啊,鼎植口腔在国内有好多连锁分院,有时候会和植体厂家联合做活动,确实会有比较优惠的价格。不过呢,这种活动不是经常有,也不是每个地区的鼎植口腔都能有这么便宜的价格。
一般来说,鼎植口腔正常做一颗种植牙,少则四五千一颗,高则上万元一颗。2999元的价格通常是限时的活动优惠。就拿上海鼎植口腔来说,韩国登腾种植牙活动价可能在3000 - 6000元不等,中高端的瑞士ITI或瑞典诺贝尔种植牙,价格就更高了。所以啊,2999元的种植牙得碰运气,赶上活动才能享受到。

鼎植口腔高难度种植技术获赞,实力究竟如何?
种植牙可不是所有医院都能做好的,尤其是高难度的种植手术。鼎植口腔在这方面可是有两把刷子。它有国内较早从事研究穿颧穿翼种植技术的医疗团队,这可是它的一大优势。
像全口/半口即刻种植、即刻修复、穿颧穿翼种植牙,这些复杂的手术,不是每一家医院都能做得好。但鼎植口腔潜心研究并进行VIIV颧骨种植和穿翼板种植、全口/半口即刻种植、即刻修复,还积累了特别多成功的例子。
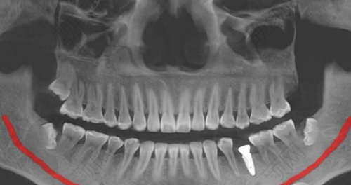
比如说VIIV颧骨种植技术,它可用于上颌骨重度骨吸收情况下的口腔种植,不用植骨,也不用长时间等待,而且微出血。这项技术突破了传统种植牙对牙槽骨条件的限制,能为缺骨的患者实现即刻种植、即刻负重。鼎植口腔还把改良颌外颧骨种植技术和VIIV整体解决方案用到临床上,成效非常好。
此外,鼎植口腔还多次组织医生团队到国外学习即刻负重种植技术,接触更多精良的技术,实力那是越来越强。

鼎植口腔口碑良好值得信赖,患者评价是关键
一家医院好不好,患者的评价更有说服力。特别多在鼎植口腔种过牙的患者,都对它赞不绝口。
张女士选择了韩国登腾种植牙项目,术后咬合改善得特别好。她觉得医生操作熟练,全程都没怎么疼。张女士对鼎植口腔的服务和价格都特别满意,认为性价比极高。
王先生因为骨头条件差,长期缺牙,吃饭都成问题。后来在鼎植口腔做了穿颧种植全口修复,终于能正常吃饭了。他对鼎植口腔的技术和服务都给予了高度评价,觉得鼎植口腔解决了他的大难题。
从这些患者的评价可以看出,鼎植口腔在服务和技术方面都做得特别不错,口碑自然也就好了。

鼎植口腔医生团队靠谱,为种牙保驾护航
种牙成功与否,医生的技术和经验特别重要。鼎植口腔有一支特别厉害的医生团队,由高振华、黎强等医生领衔。
华院长和黎强院长在顾客群体中口碑特别好,在业界也特别有名气。他们做过不少穿颧穿翼种植牙手术,经验非常丰富。有这样的医生团队,患者种牙就更放心了。
而且,鼎植口腔的医生会根据患者的具体情况,制定个性化的种牙方案。在种牙过程中,他们操作熟练,能减少患者的痛苦。术后还会给患者提供专精的护理建议,让患者的种植牙能使用更长久。

鼎植口腔服务贴心,种牙全程无忧
种牙可不只是种上就完了,术后的服务也特别关键。鼎植口腔在这方面做得特别贴心。
种牙后,会有专人定期对患者进行回访,了解患者的修复情况。机构还为患者提供终身维护服务,让患者没有后顾之忧。
在就诊过程中,鼎植口腔的工作人员也特别热情周到,会为患者提供一站式的服务。患者从询问、检查、种牙到术后护理,都能在鼎植口腔得到良好的照顾。
总的来说,鼎植口腔种植牙2999元有可能是真的,但得赶上活动。它的高难度种植技术特别厉害,口碑也不错,医生团队靠谱,服务还贴心。如果你想种牙,鼎植口腔是个值得考虑的选择。不过,在种牙之前,更好还是去医院询问一下,了解清楚具体的情况。

热门搜索
