我们会尽快处理。
天呐!我在长春爱馨口腔找王永刚医生做全口种植牙,才花 2 万!家人们,我必须得把我这次超棒的种牙经历分享给你们!

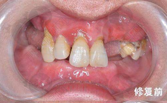
牙齿缺失的困扰
我之前牙齿一直不太好,年纪轻轻就掉了好几颗牙,后来发展到全口牙齿都不太行了。这牙齿一缺失,可给我带来了不少麻烦。
先说吃饭吧,以前我可是个美食爱好者,各种好吃的都喜欢尝试。但牙齿没了之后,好多东西都没法吃,像排骨、苹果这些,咬都咬不动,只能眼巴巴地看着别人吃,自己只能吃点软乎乎的粥和面条,生活都少了好多乐趣。
而且因为牙齿缺失,我的脸型都有点变了,整个人看上去老了好几岁。说话的时候还会漏风,发音也不正确,跟别人交流的时候都有点不自信。我试过戴假牙,但是戴着特别不舒服,还老是容易掉,真的太折磨人了。我就想着一定要想办法解决牙齿的问题。

选择长春爱馨口腔
为了种牙,我可没少做功课。我在网上查了好多资料,也问了身边种过牙的朋友。大家给我推荐了好多口腔医院,我对比了好多家,末尾把目标锁定在了长春爱馨口腔。
这家医院的口碑特别好,好多人都说医生技术好,服务也周到。我还在网上看了他们医院的实例,那些种牙前后的对比照片真的太惊人了,种完牙之后整个人都精神了,容貌直接提升了好几个档次。
我就决定去长春爱馨口腔看看。到了医院之后,我发现医院的环境特别干净整洁,工作人员也都特别热情,一进门就有人引导我挂号、填写资料,还倒了水给我,让我感觉特别温暖。
给我接诊的就是王永刚医生,王医生特别专精,他仔细地给我检查了牙齿,还拍了片子,然后根据我的情况制定了详细的种牙方案。他跟我解释得特别清楚,用的是什么材料,种牙的过程是怎样的,大概需要多长时间,费用是多少,都一一跟我说了。当他说全口种植牙只需要 2 万的时候,我真的惊呆了,这个价格比我了解的其他医院便宜了好多。我当时就觉得找对地方了,果断决定就在这里种牙。

种牙过程的体验
种牙之前,王医生给我做了全方面的口腔清洁和消毒,还打了麻药。说实话,我心里还是有点紧张的,毕竟是要在嘴里动刀子。但是王医生一直安慰我,让我放松。
整个种牙过程中,我其实并没有感觉到特别疼,可能是麻药起作用了吧。王医生的手法特别娴熟,每一个步骤都特别精细,感觉他就像一个经验多的艺术家,在我的口腔里精心雕琢。旁边的护士小姐姐也一直在鼓励我,让我不要害怕。
种完牙之后,王医生还耐心地跟我说了术后的注意事项,比如要注意口腔卫生,不能吃太硬太辣的食物,要按时吃药等等。我按照王医生说的做,修复得特别快。刚开始的时候,嘴里会有点不舒服,但是过了几天就好多了。
在修复的过程中,医院还会定期给我打电话回访,问我的修复情况,提醒我按时来复查。这种贴心的服务真的让我特别感动,感觉他们不仅仅是把我当成一个患者,更像是朋友一样关心我。

种牙后的惊喜
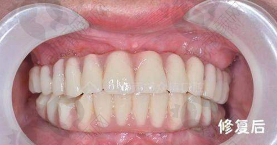
经过一段时间的修复,我的全口种植牙终于完全好了。当我第一次用新牙吃饭的时候,那种感觉真的太美妙了。我咬了一口苹果,嘎嘣脆,这熟悉的感觉我已经好久没有体验过了。我又吃了排骨,大口吃肉的感觉太爽了,我感觉自己又可以尽情享受美食了。
再看看镜子里的自己,脸型也修复了,整个人看上去年轻又精神,自信心一下子就回来了。说话也不再漏风了,跟别人交流的时候也更加顺畅了。
而且这 2 万块钱花得真的太值了,性价比极高。我了解过其他医院的全口种植牙,价格都要好几万甚至十几万,而我在长春爱馨口腔,用这么少的钱就解决了牙齿的大问题。

结语
我在长春爱馨口腔找王永刚医生做全口种植牙,才花 2 万!这次种牙经历真的改变了我的生活。长春爱馨口腔和王永刚医生真的太靠谱了,技术好、服务好、价格还实惠。
家人们,如果你们也有牙齿缺失的困扰,真的可以考虑去长春爱馨口腔找王永刚医生,相信你们也能像我一样,拥有一口健康漂亮的牙齿,重新享受美好的生活!

热门搜索

