我们会尽快处理。
在上海的口腔医疗领域,上海鼎植的桑朱伟医生凭借其不错的医术和丰富的经验,成为了众多患者信赖的口腔骨干医生。下面就为大家详细介绍这位非凡的口腔医生。

上海鼎植桑朱伟个人资质
桑朱伟是拥有正规执业资格的口腔医师,大家可以放心找他看诊!他获得了口腔种植、口腔牙周、口腔美学修复等相关证书,具备扎实的专精知识和技能,为患者的口腔健康保驾护航。

上海鼎植桑朱伟种植牙水平怎么样?
桑朱伟医生在种植牙领域水平相当出色。他从事口腔工作多年,擅长微创即刻及高难度穿颧穿翼种植牙技术。穿颧穿翼种植技术是种植牙领域的高难度技术,对医生的技术和经验要求极高。桑医生参与穿颧穿翼种植手术近千例,拥有常规半口全口种植数百例,种植颗数上万颗,如此丰富的临床经验使他在面对各种复杂的种植牙情况时都能游刃有余,为患者提供精细、有效的治疗方案。

上海鼎植桑朱伟个人资料及简历
桑朱伟从14年底开始实习,在口腔领域不断探索和学习。他做过全科、牙齿美白修复、牙齿矫正,也做过牙齿种植,积累了全方面的口腔临床经验。他还参加了德国弗兰德堡种植研修班,不断提升自己的专精技能。多年来,他凭借自己的努力和对口腔事业的热爱,在口腔种植领域取得了显著的成绩,成为上海鼎植口腔的重要医生之一。

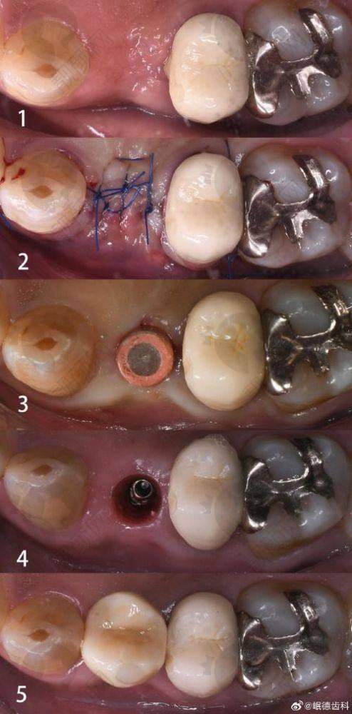
上海鼎植桑朱伟种植牙实例
曾有一位老年患者,由于牙槽骨极度缺失,传统的种植牙方法难以实施。桑朱伟医生经过详细的检查和评估,决定采用穿颧穿翼种植技术为患者进行治疗。在手术过程中,桑医生凭借不错的技术和丰富的经验,精细地完成了种植操作。术后,患者修复良好,特别快就修复了正常的咀嚼功能,对治疗成效非常满意。这个实例充分展示了桑朱伟医生在高难度种植牙方面的出色技术。

上海鼎植桑朱伟在哪家医院
桑朱伟医生就职于上海永博口腔,上海永博口腔是隶属于鼎植连锁口腔医院,是上海鼎植口腔旗下的一员。上海鼎植口腔是一家经过上海当地监管部门批准的私立口腔医疗机构,专注于提供高品质的口腔诊疗服务。

上海鼎植桑朱伟口碑和评价
患者A:“桑医生技术真的没得说,我之前一直担心种植牙会特别疼,但是桑医生操作特别熟练,整个过程几乎没什么痛感。而且术后修复得也特别快,现在我的牙齿用起来和真牙一样,太感谢桑医生了。”
患者B:“桑医生特别有耐心,会详细地给我讲解治疗方案和注意事项。我对种植牙有特别多疑问,他都一一解答,让我心里特别踏实。手术成效也非常好,我特别满意。”
患者C:“我是朋友推荐来找桑医生的,果然没让我失望。桑医生的技术特别厉害,解决了我多年的缺牙问题。现在我吃饭香了,整个人的精神状态都好了特别多。”

上海鼎植桑朱伟项目价格表参考
种植牙的价格因种植体品牌、种植方式等因素而异。一般来说,普通种植牙一颗的价格在几千元到上万元不等。如果是采用穿颧穿翼等高难度种植技术,价格会相对较高。具体的价格建议患者到医院进行详细询问,桑医生会根据患者的具体情况制定合适的治疗方案并告知相应的费用。

上海鼎植桑朱伟怎么预约?
患者可以通过以下几种方式预约桑朱伟医生的门诊。一是可以拨打上海永博口腔的法定电话,向工作人员说明预约桑朱伟医生的需求,并提供个人信息进行预约。二是可以在上海永博口腔的法定网站或微信公众号上进行在线预约,按照提示填写相关信息即可。三是也可以直接前往上海永博口腔的前台,向工作人员提出预约桑朱伟医生的请求,他们会协助完成预约流程。

热门搜索
