我们会尽快处理。
在口腔医疗领域,上海鼎植的吴小虎医生凭借其不错的医术和丰富的临床经验,赢得了众多患者的信赖与好评。下面为大家详细介绍这位非凡的口腔医生。

上海鼎植吴小虎个人资质
上海鼎植吴小虎是拥有正规执业资格的口腔主治医师,并且是VIIV穿颧穿翼专项种植团队成员,大家可以放心找他看诊!

上海鼎植吴小虎种植牙水平怎么样?
上海鼎植吴小虎在种植牙领域水平相当出色。他有着扎实的理论基础和丰富的临床经验,能够熟练运用各种精良的种植技术。在面对复杂的种植病例时,他凭借专精的判断和不错的操作技巧,为患者制定个性化的种植方案。他擅长种植修复、即刻种植等技术,在美学修复方面也有特别高的造诣,能够在修复患者牙齿功能的同时,兼顾牙齿的美观度,让患者拥有自然、健康的牙齿。

上海鼎植吴小虎个人资料及简历
吴小虎医生现任鼎植口腔种植院长,作为VIIV穿颧穿翼专项种植团队成员,他积累了丰富的临床经验。在多年的口腔临床工作中,他不断学习和钻研,掌握了前列的口腔种植技术和理念。他参与了众多复杂口腔种植手术,在种植修复、即刻种植、美学修复、显微根管、微创外科拔牙、牙周治疗等多个领域都有深入的研究和实践,为众多患者解决了口腔问题,赢得了患者的一致认可。

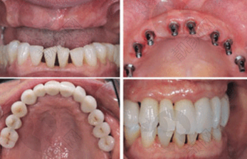
上海鼎植吴小虎种植牙实例
曾有一位老年患者,由于长期缺牙导致牙槽骨重度萎缩,传统的种植方式难以实施。吴小虎医生经过详细的检查和评估,为患者制定了VIIV穿颧穿翼种植方案。在手术过程中,吴医生凭借不错的技术,精细地完成了种植操作。术后,患者修复良好,不仅解决了牙齿缺失的问题,而且牙齿的咀嚼功能和美观度都得到了极大的提升。患者对治疗成效非常满意,称赞吴医生医术高超、职责心强。

上海鼎植吴小虎在哪家医院
上海鼎植吴小虎在上海鼎植口腔八八门诊部坐诊。该门诊部位于上海市浦东新区浦东南路 1078 号 1088 广场 5F - 507 室,联系电话是 021 - 50365057。

上海鼎植吴小虎种植牙真实评价
评价一:“吴小虎医生技术真的特别棒!我之前一直担心种植牙会特别疼,但是吴医生操作特别熟练,整个过程几乎没有什么痛感。种完牙后修复得也特别快,现在牙齿用起来非常好,感谢吴医生!”
评价二:“吴医生特别有耐心,会详细地给我讲解种植方案和注意事项。手术过程中也特别细心,术后还经常关心我的修复情况。现在我的牙齿美观又实用,真的太满意了!”
评价三:“早就听说吴小虎医生在种植牙方面特别厉害,这次亲身体验果然名不虚传。他根据我的口腔情况制定了更合适的方案,种牙成效超出了我的预期,必须点赞!”
评价四:“吴医生不仅医术好,而且态度和蔼可亲。在种牙前我心里特别紧张,他一直安慰我,让我放松了特别多。现在牙齿已经完全修复,感觉和自己原来的牙齿一样,非常感谢吴医生!”

上海鼎植吴小虎项目价格表参考
上海鼎植口腔的种植牙价格因种植体品牌不同而有所差异。进口迪耀种植牙 1880 元/颗起,韩国登腾种植牙 3200 元/颗起,韩国登特斯种植牙 3980 元/颗起,韩国奥齿泰种植牙 4280 元/颗起,以色列 AB 植体 5800 元/颗起,瑞士 ITI 标准种植牙 6280 元/颗起,瑞士 ITI 瑞锆种植体 11800 元/颗起,瑞典诺贝尔 PCC 7800 元/颗起,瑞典诺贝尔 Active 14800 元/颗起,半口全固定种植 16800 元起,全口全固定种植 33600 元起。以上价格包含种植体、基台及手术费用,具体费用需根据骨条件及修复方案评估。

上海鼎植吴小虎怎么预约?
如果您想预约上海鼎植吴小虎医生的诊疗服务,可以通过以下方式进行预约。您可以直接拨打上海鼎植口腔八八门诊部的电话 021 - 5036**** 进行预约;也可以通过上海鼎植口腔的法定网站或线上平台进行在线预约。建议您提前预约,以便合理安排就诊时间。

热门搜索
