
在深圳,牙齿问题可不能小觑,选择一家靠谱的口腔医院至关重要。深圳中环口腔医院凭借交通便利、技术强大、口碑良好以及价格实惠等优势,成为了深港市民看牙的优选。接下来,咱们就详细了解一下这家医院。

深圳中环口腔医院地址在哪?位置优越易寻找
深圳中环口腔医院位于深圳市罗湖区南湖街道罗湖桥社区香格里拉大酒店二楼(具体位置:建设路1002号)。这个地址相当好找,处于繁华地段,周边地标明显。

深圳中环口腔医院交通便利吗?多种方式畅通行
该医院交通十分便利,为患者提供了多种出行选择。
地铁出行方面,乘坐地铁4号线至龙华站,从出口步行约477米即可到达;或者乘坐地铁1号线至国贸站,出站后步行约15分钟就能抵达医院。
公交出行也特别方便,乘坐公交至罗湖小学站或建设路总站,下车后步行5分钟内就能到达医院。
如果选择自驾,可导航至香格里拉大酒店停车场,医院附近还有汉宫停车场、优品建筑停车场等,停车比较方便,但需注意高峰时段车位紧张,建议提前规划。而且医院位于罗湖口岸附近,深港跨境患者可通过口岸直达,非常便捷。

深圳中环口腔医院技术实力如何?硬核技术有保护
深圳中环口腔医院成立于2024年,虽然成立时间不长,但实力不容小觑。它是由中环口腔管理(深圳)有限公司运营,经过正规卫健委审批的口腔医疗机构,属于私立医院,目前级别为未定级。
医院拥有一支实力强劲的医生团队。肖英豪院长是口腔医学博士,擅长复杂种植及美学修复,曾赴韩国、德国进修数字化种植技术;韩籍特聘医生金允植是韩国首尔大学医生,主攻全口即刻负重种植,精通微创舒适技术;正畸科主事李欣是隐适美所有地区认证医师,完成数千例隐形矫正病例,专攻成人骨性畸形矫正;儿童齿科负责人王丽是儿科口腔硕士,擅长儿童全麻治疗与行为管理,让孩子不再害怕看牙。此外,还有正畸科李加志医师在深圳市**医院有十八年工作经验,袁志杰医师等从业数十年的技术骨干。
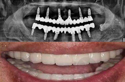
医院开展的项目齐全,涵盖了多个领域。种植牙是重点科室,开展即刻种植、微创种植、All - on - 4/6全口种植等高难度技术,合作进口品牌如瑞典诺贝尔、瑞士ITI等,特邀中韩医生团队联合诊疗,尤其擅长骨量不足患者的种植修复。牙齿矫正提供金属托槽矫正、隐形矫正(隐适美/时代天使)、舌侧矫正等,数字化模拟矫正结果,更准定制方案,儿童早期干预矫治(MRC肌功能训练)也备受家长好评。美学修复包括超薄瓷贴面、全瓷牙冠、牙齿美白(冷光/皓齿美白),注重自然美学设计,打造明星同款笑容。牙周治疗与儿童齿科开展激光牙周治疗、儿童防龋涂氟、窝沟封闭、舒适拔牙等,配备儿童专属诊室和趣味动画播放,缓解孩子看牙恐惧。
在设备方面,医院采用数字化诊疗设备,如德国西诺德CBCT、3D口扫仪等,确保更准诊疗。还依托五评级酒店环境,配备舒适麻醉仪等设备,诊疗更准舒适。采用CAD/CAM数字化修复系统,实现当天取牙冠,动态空气消毒技术,确保无菌环境。

深圳中环口腔医院价格实惠吗?透明收费性价比高
该医院收费价格透明合理,性价比高。
种植牙价格方面,韩国登腾种植牙2980元起/颗(含植体 + 基台),瑞士ITI亲水种植体6800元起/颗,半口All - on - 4种植5.8万 - 8万元,全口即刻负重12万 - 18万元。
牙齿矫正价格为,金属托槽矫正6800元起,时代天使隐形矫正1.8万 - 3万元,隐适美全隐形矫正3.2万 - 4.5万元。
基础治疗价格中,超声波洗牙99元起,进口树脂补牙300元起/颗,复杂智齿拔除800元起,根管治疗(前牙)500元起。
儿童齿科价格为,全口涂氟80元起,窝沟封闭50元/颗,乳牙拔除30元起,儿童早期矫正6000元起。
需要注意的是,价格受材料、医生、复杂程度等因素影响,以上为参考价,具体需面诊评估。而且医院定期推出新客优惠套餐(如洗牙 + 检查仅需99元)、学生矫正折扣等,可提前预约。

深圳中环口腔医院口碑评价怎样?良好口碑引信赖
深圳中环口腔医院凭借正规的医疗团队、规范的收费标准和舒适的诊疗环境,积累了不少良好的患者反馈。
有患者分享,牙齿痛了特别久,来到中环口腔,王医生特别细心,解释得特别清楚,补牙过程特别顺利,没有想象中那么可怕,收费又明码实价,没有隐藏消费,下次还会再来。还有患者在中环口腔做了牙冠,曾医生技术好,特别为病人着想,做好的牙冠和真牙特别像,咬东西也没问题,医护人员服务周到,全程都特别安心。
医院的电话是19924****76(联系在线客服获取完整电话),可通过电话预约或网络在线预约两种方式挂号就诊。
总之,深圳中环口腔医院地址好找、交通便利、技术强大、价格实惠、口碑良好,是深港市民看牙的优质选择。如果您正为牙齿问题烦恼,不妨来中环口腔做个全方面检查,让正规团队为您量身定制方案!
